Descubra a solução definitiva e tenha uma vida mais saudável

Livre-se do Pectus Excavatum e recupere sua autoestima

Como funciona o Sistema Corretivo da TRAUMEC

Mais do que uma questão estética

Dificultar a respiração profunda

A compressão dos pulmões pelo esterno proeminente pode levar a cansaço fácil, falta de ar e, em casos extremos, problemas pulmonares

Afetar a postura

A curvatura da coluna vertebral para compensar a proeminência do esterno pode gerar dores nas costas e no pescoço

Causar problemas cardíacos

Em casos raros, a compressão do coração pelo esterno pode levar a sopros cardíacos e outros problemas

Prejudicar a autoestima

A aparência diferente do tórax pode gerar constrangimento, baixa autoestima e problemas nas relações sociais, especialmente durante a adolescência

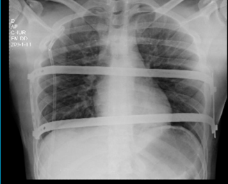
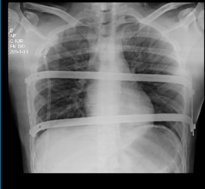
O Pectus Excavatum, também conhecido como peito de pombo, é uma condição caracterizada por uma proeminência anormal do esterno, o osso central do peito. Essa deformação, que pode ser leve ou grave, causa uma saliência no tórax que se assemelha a um “peito de pombo”. Para aqueles que buscam uma solução, o Sistema Corretivo de Deformidade Pectus Excavatum - Traumec foi desenvolvido para realizar a correção cirúrgica dessa deformidade congênita da parede torácica. O dispositivo é implantado junto ao osso esterno e se mantém apoiado nos arcos costais adjacentes, com a ajuda de estabilizadores, para corrigir a deformação.

Você busca a solução para o Pectus Excavatum?

Veja casos de antes e depois

Sobre a Traumec e ACTMED

A parceria entre a Traumec e a ACT Med já ultrapassa os 5 anos, consolidando-se como uma das mais fortes no mercado de correção de pectus excavatum no Nordeste e em todo o Brasil. Juntas, somos líderes no fornecimento de soluções inovadoras e de alta qualidade para este tipo de tratamento, sendo um dos principais distribuidores do país.

O diferencial está no material utilizado na confecção das barras para a correção do pectus excavatum. Com uma composição de aço de altíssima qualidade e um design inovador, nossas barras proporcionam maior segurança e eficácia no procedimento, estabelecendo um novo padrão na correção de deformidades torácicas. Este avanço nos torna pioneiros e referência na área, garantindo resultados superiores para pacientes e cirurgiões

Diga adeus ao Pectus Excavatum

Entre em contato agora, fale com nosso especialista e descubra como o Sistema Corretivo de Pectus Excavatum da Traumec pode te ajudar

Siga-nos no Instagram

CONTATO

(81) 3040.1942

LOCALIZAÇÃO

Praça Miguel de Cervantes, 60 - Sala 1601 Ilha do Leite, Recife/PE

SIGA-NOS:

Copyright ACTMED - Todos os direitos reservados 2024